Anna Sri
Hi I’m Dr. Sri and I’m so glad you’re here. Thank You for taking a moment to get to know me before your visit!
I graduated with honors from Carrington College as a Dental Hygienist. And, have over 20 years of experience working in the dental field.
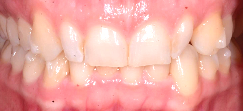
Kindly utilize the slider to observe the results of the before and after care. To view the Before, slide it all the way to the right, and to view the After, move it all the way to the left.






Schedule your appointment today and let us help you achieve a healthier, brighter smile!
Schedule An Appointment